strumenti da laboratorio

diagnostica

 

strumenti di intervento

dentalflyassistance

 

Text Size

 

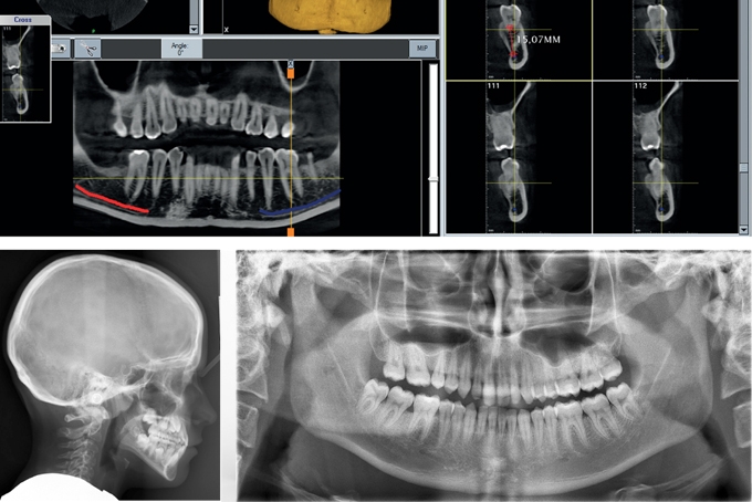
X.VIEW.3D della Trident è un sistema volumerico Cone Beam, per la diagnostica 3D/2D per la radiologia odontoiatrica. X-VIEW-3D è a tutti gli effetti un sistema multifunzionale tre in uno. Progettato per essere una CBCT si è voluto mantenere la possibilità di fare anche delle Panoramiche/teleradiografie2D. X-VIEW-3D rappresenta la tecnologia di ultima generazione e per i suoi contenuti offre soluzioni diagnostiche adatte a soddisfare le richieste più esigenti. Il flat panel con tecnologia CMOS offre un'area attiva di 13 cmx13 cm con un field of view effettivo di 8,5 cm x 8,5 cm il volume acquisito conterrà le due arcate dentarie nel suo completo e le parti anatomiche di interesse , seni paranasali compresi. Il sensore CMOS ha un pixel di 100 μ garantendo in alta risoluzione un voxel di 166 μ. Un'ideale definizione per una diagnosi immediata. Inoltre è bene sapere che i 14 bit del sensore garantiscono fino a 16384 livelli di grigio. Per quanto riguarda le applicazioni 2D x.view nella panoramica vi offre il multilayer: "Dopo avere acquisito la pano nel monitor del PC in Dotazione vi verranno proposte tre immagini, la prima sarà quella primaria che segue la normale linea mediana dell'arcata dentaria, inoltre avrete due immagini panoramiche, una di due mm più spostata in zona Linguale e l'altra di 2 mm in più verso la zona vestibolare. Questo UP GRADE vi permette di vedere sempre tutta la dentizione in una perfetta messa a fuoco anche se i denti non sono perfettamente allineati tra loro. Altra grande prestazione di x-view nel 2D è la teleradiografia Single Shot 24cmx30 cm con il suo sensore dedicato Flat Panel phosphor plate con lettore incorporato. Grande Formato con bassa dose di raggi e tempo di esposizione da 1 a 2 secondi. Concludiamo con gli Algoritmi di ricostruzione utilizzati che migliorano la definizione e la qualità delle immagini permettendo di individuare anche i più piccoli particolari anatomici l'insieme degli Algoritmi e la tecnologia permettono di ridurre l'effetto scatering di metalli sull'immagine 3D, evitando artefatti evidenziati come strisce ed ombre a scapito di un buon risultato diagnostico. L'interazione degli algoritmi velocizza la ricostruzione dell'immagine acquisita infatti la ricostruzione di un volume 8,5 cm x8,5 cm la si ottiene in meno di 10 secondi.

scarica catalogo offerte Dental Fly

Showroom

formazione DentalFly

ospitalita corsisti

swident

faro

durr dental

trident

doctor smile

gcomm

Website Concept | Studio Musaio Sabato